
Prótese Dentária
Em casos de perda de dente, a prótese dentária é a melhor solução para reabilitar o sorriso e renovar a autoestima do paciente.

Prótese Dentária
Em casos de perda de dente, a prótese dentária é a melhor solução para reabilitar o sorriso e renovar a autoestima do paciente.

Implante Dental
Trata-se do que há de mais moderno e seguro no quesito de reabilitação oral para pacientes que perderam dentes.

Plástica Gengival
É um procedimento cirúrgico bem simples, realizado com anestesia local, e tem como objetivo corrigir o contorno gengival.

Clareamento Dental
Procedimento odontológico estético com o objetivo de tornar os dentes mais claros.

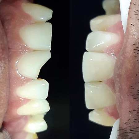
Lentes de Contato Dental
Trata se de restaurações realizadas com alto teor estético e resistência.

Faceta em Resina
As facetas em resina são alternativas rápidas e em conta, surpreendendo pela versatilidade e pelos resultados.

Controle Periodontal (Limpeza)
O controle periodontal deverá ser realizado a cada 6 meses, salvo em algumas exceções que necessitam de um período mais curto.

Endodontia (Tratamento de Canal)
O dente é composto por esmalte, dentina e polpa. A polpa dentária é o tecido mole que contém nervos, vasos sanguíneos e tecido conjuntivo.

Cirurgia (Queiro / Siso)
Dentes do siso ou queiro são os últimos molares de cada lado dos maxilares e geralmente nascem entre 16 e 25 anos de idade.