
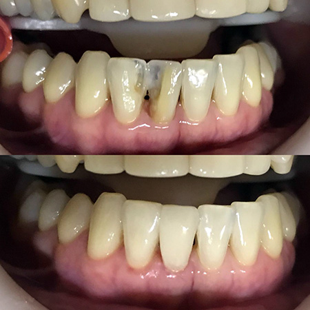
As facetas em resina são alternativas rápidas e em conta, surpreendendo pela versatilidade e pelos resultados.
São indicadas para pequenas correções de cor e forma, em um ou mais dentes, como, por exemplo, usadas para fechar espaços entre incisivos centrais superiores (diastemas).
Responsável Técnico: Dra. Jéssica Ester | CRO-PE 10165
Endereço: Avenida Bernardo Vieira de Melo,1496. Empresarial Bernardo Vieira de Melo | Sala 102 | Piedade | 54410-010
* Na frente da caixa econômica de Piedade, ao lado do Taysan.